Como atender às suas necessidades de colina de maneira eficiente e econômica
COLINA COMO NUTRIENTE: FUNÇÕES BÁSICAS.
A colina é um nutriente essencial na maioria das espécies de interesse produtivo. Desempenha um papel crucial na síntese de neurotransmissores (acetilcolina), sinalização da membrana celular (fosfolípidos), síntese de mielina e transporte de lipídios (lipoproteínas).
A colina é um precursor da fosfatidilcolina, um fosfolipídio que, além de fazer parte da composição das membranas celulares, desempenha um papel importante na geração e composição das secreções biliares; portanto, intervém diretamente na emulsificação das gorduras.
FONTES DE COLINA
O organismo é capaz de biossintetizar a colina em pequenas quantidades, e para isso necessita de outros nutrientes, principalmente aminoácidos e vitaminas do complexo B. Embora os alimentos contenham colina, as altas taxas de produção exigidas tornam necessária a suplementação das dietas para cobrir as necessidades mínimas.
A dieta tem sido tradicionalmente suplementada com cloreto de colina. Este ingrediente pode ser encontrado na forma líquida (75% de riqueza) ou em pó (50 ou 60% de riqueza). Uma vez no intestino, o cloreto de colina é metabolizado pela microflora e apenas 30% é absorvido. O restante é transformado em trimetilamina. O teor de trimetilamina deve ser inferior a 300 mg/Kg, pois é absorvida e transportada para os tecidos, o que pode afetar negativamente o fígado.
O cloreto de colina tem sérias desvantagens tecnológicas. É muito corrosivo e higroscópico. Endurece com facilidade, gerando problemas de mistura e homogeneidade na fabricação da ração. É importante levar em consideração que o cloreto de colina interage com as vitaminas e pode levar à sua desnaturação, reduzindo assim a vida útil do produto final.
SUPLEMENTAÇÃO COM COLINA NATURAL
Desde 2013 a LIPTOSA tem participado em vários projetos de investigação do CDTI com o objetivo de melhorar o conhecimento de determinadas plantas e dos seus componentes bioativos para a sua utilização na alimentação animal. Em 2013, em colaboração com explorações agrícolas, Centros de Investigação e outras empresas do setor pecuário, desenvolvemos um projeto CDTI denominado Projeto MEPROGAL que resultou na conceção de produtos à base de plantas com efeito adjuvante de ingredientes essenciais.
METH PLUS - adjuvante de metionina e seu substituto parcial.
METH PLUS EXPERT - adjuvante de metionina enriquecido com ingredientes hepatoprotetores.
DIGEST FAST - nutracêutico com efeito emulsionante, contém ingredientes que podem atuar como agentes hepatoprotetores.
Todos esses produtos têm apresentado alto grau de eficiência, permitindo melhor aproveitamento dos nutrientes e economia nos custos de produção.
NATURCOLIN - é um nutracêutico baseado na combinação de ingredientes botânicos com efeito hepatoprotetor e rico em colina (incluindo fosfatidilcolina entre outros fosfolipídios).
A seleção de componentes à base de plantas permite que a colina desempenhe as funções típicas de transporte de gorduras, sendo uma fonte de fosfolipídios, contribuindo também para a manutenção da boa saúde do fígado e produção endógena de colina.
Naturcolin permite a substituição de até 5 partes de cloreto de colina a 60% sem biodisponibilidade e problemas tecnológicos, para a fabricação de rações e pré-misturas.
De acordo com os testes realizados, considera-se que 1 kg de Naturcolin pode substituir 2.600.000 mg de colina pura (síntese química) dependendo do tipo de dieta.
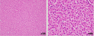
Num estudo realizado no Departamento de Anatomia Patológica da Faculdade de Medicina Veterinária da Universidade Complutense de Madrid, analisando os fígados de galinhas suplementadas com Naturcolin da semana 69 à semana 80 e comparando-os com animais sem suplementação, observou-se como as galinhas suplementadas mantêm uma melhor condição hepática. No lote controle, observou-se nítida vacuolização do citoplasma dos hepatócitos em percentual significativo dos fígados analisados.


Naturcolin usado em cima na dose de 200 gr/Tm, oferece vantagens do ponto de vista sanitário (redução da esteatose hepática) e produção (melhor qualidade dos ovos e dureza da casca, redução da gordura em frangos de corte, melhores índices reprodutivos em porcas, etc.). Esses dados são refletidos em um teste realizado no Departamento de Produção Agrícola da E.T.S. de Engenharia Agronômica, de Alimentos e Biossistemas em maio de 2023. Os resultados produtivos e de qualidade dos ovos foram comparados em um grupo de 500 galinhas suplementadas com 200 gramas de Naturcolin em comparação com uma suplementação com 1000 gramas de cloreto de colina a 60%. O teste de reflexo como a substituição do cloreto de colina por Naturcolin na proporção de 1 a 5 melhora a porcentagem de ovos maiores (XL e L). No mesmo estudo foi possível demonstrar como a análise das transaminases hepáticas (GOT e GGT) manteve melhores níveis no lote suplementado com Naturcolin.

Testes feitos em frangos de corte mostram que ele substitui o cloreto de colina com garantias. Assim, um teste realizado em 2022 na Holanda (Feed Innovation Services BV, Wageningen) substituindo 1000 gramas de cloreto de colina a 60% por 350 gramas de Naturcolin mostra como as taxas de conversão, consumo de ração e crescimento não apresentam diferenças.
NATURCOLIN NORMAS DE QUALIDADE E FABRICAÇÃO.
• Liptosa é o único fabricante europeu de colina vegetal.
• Possuímos fórmulas específicas que podem ser fabricadas dentro dos padrões de qualidade FAMI-QS.
• Nossos padrões de qualidade garantem a rastreabilidade adequada de todos os nossos produtos e alta confiabilidade e consistência nos resultados obtidos.
DISCLAIMER:
Certas informações associadas aos produtos, à sua composição e às suas alegações podem ser diferentes segundo a região geográfica e podem não ser aplicáveis em todos os países. A Liptosa reserva-se o direito de as adaptar às exigências e à legislação de cada caso. As informações e recomendações técnicas aqui fornecidas baseiam-se nos conhecimentos e na experiência actuais da Liptosa. A Liptosa reserva-se o direito de atualizar as informações e argumentos contidos nesta plataforma, bem como de efetuar quaisquer alterações a estas informações ou recomendações em qualquer momento, sem aviso prévio ou posterior.